اگر شخصی یک یا چند دندان خود را از دست داده باشد و یا کاملا بدون دندان باشد به منظور جایگزینی دندان های از دست رفته می تواند از ایمپلنت های دندانی استفاده نماید. یک ایمپلنت دندانی پایه کوچکی از جنس فلز تیتانیوم یا آلیاژ های تیتانیوم می باشد...
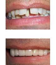
ایمپلنت دندانی ایمپلنت دندانی چیست و چگونه عمل می کند؟ اگر شخصی یک یا چند دندان خود را از دست داده باشد و یا کاملا بدون دندان باشد به منظور جایگزینی دندان های از دست رفته می تواند از ایمپلنت های دندانی استفاده نماید. یک ایمپلنت دندانی پایه کوچکی از جنس فلز تیتانیوم یا آلیاژ های تیتانیوم می باشد. این فلز به وسیله استخوان ها به راحتی پذیرفته می شود و اتصال استخوان فک با این فلز به خوبی صورت می پذیرد. واژه اتصال ایمپلنت به استخوان(Osseointegration) خیلی زیاد در این رابطه استفاده می شود که منظور از آن پیوستگی و اتصال ایمپلنت دندانی با استخوان فک می باشد. ایمپلنت دندانی که جایگزین ریشه دندان می گردد دارای شیارهای ظریفی بر روی سطوحش می باشد که در استخوان فک پیچ می گردد. ایمپلنت در داخل حفره ای که توسط دریل ایجاد شده است قرار می گیردد. اصلی ترین هدف در نصب یک ایمپلنت رسیدن به یک اتصال فوری با استخوان اطراف آن می باشد. این امریک پایداری اولیه را به وجود خواهد آورد که با گذشت زمان به وسیله افزایش بیشتر توده استخوانی بر روی سطح زیر میکروسکوپی ایمپلنت محکم تر خواهد گردید. این سطح زیر توسط روش های مختلف Blasting، Acid etching و غیره ایجاد می گردد. پس از مدت زمانی کوتاهی که استخوان اطراف کاملا به ایمپلنت متصل گردید می توان قسمت تاج آن را به شکل یک دندان طبیعی بازسازی نمود، دندان جدید از نظر زیبایی همانند یک دندان طبیعی عمل می نماید. در مواردی که تحلیل استخوانی زیاد است، دست دندان متحرک بیمار گیر کافی ندارد و در نتیجه بیمار در جویدن، صحبت کردن و ... با مشکل مواجه می گردد. در این موارد می توان با استفاده از تعداد محدودی ایمپلنت به عنوان پایه این مشکل را حل نمود. مزایای استفاده از ایمپلنت های دندانی چیست؟ اولین مزیت، سلامتی و زیبایی بیشتر است. وقتی که دندان ها از دست می روند استخوان اطراف دندان شروع به تحلیل می کند. این تحلیل استخوان می تواند منجر به عقب رفتن فک گردد. به کار بردن ایمپلنت های دندانی مانع این امر گردیده و بنابراین شکل طبیعی فک حفظ خواهد گردید. در طب سنتی کمبود دندان از دست رفته را با جایگزینی یک پلاک دندانی متحرک یا با تراش دو دندان مجاور و استفاده از پل یا Bridge جبران می نمایند، اما در هنگام استفاده از ایمپلنت دندانی علاوه بر آن که از تحلیل رفتن استخوان جلوگیری می شود، از صدمه به دندان های مجاور نیز جلوگیری شده و زیبایی یک دندان طبیعی را به دهان بیمار باز می گرداند. همچنین در نحوه صحبت کردن بیمار تغییری ایجاد نمی گردد. مزیت دیگر آن آسایش بیشتر می باشد، زیرا ایمپلنت های دندانی اتصال محکمی با استخوان فک پیدا می کنند، هیچ گونه لغزندگی و حرکت دندان مصنوعی وجود نخواهد داشت. این امر ناراحتی های مربوط به استفاده از دندان مصنوعی از قبیل اتصال ضعیف، تحریک لثه و درد را بر طرف خواهد نمود. چند دندان می تواند توسط ایمپلنت حمایت شود؟ تمام اشکال متداول جایگزینی دندان ها از قبیل پل ها یا دندان مصنوعی می تواند به وسیله استفاده از ایمپلنت های دندانی انجام پذیرد. اگر شما فقط یک دندان طبیعی را از دست داده باشید یک ایمپلنت برای جایگزین نمودن کافی خواهد بود. در فضاهای بزرگ تر که تعداد دندان بیشتری از دست رفته، لزوما نیاز به استفاده از یک ایمپلنت برای هر دندان نمی باشد، هر چند تعداد دقیق ایمپلنت بستگی به کیفیت و میزان استخوان در ناحیه ای که ایمپلنت کار گذاشته می شود خواهد داشت. دانسیته(تراکم استخوان) در فک بالا عموما ضعیف تر از فک پایین می باشد و اگر در فک بالا اصلا هیچ دندانی وجود نداشته باشد حداقل شش ایمپلنت برای جایگزینی کامل دندان ها به صورت ثابت کافی خواهد بود. در فک پایین به خصوص در جلوی آن استخوان خیلی محکم می باشد بنابراین نیاز به ایمپلنت های کمتری نسبت به فک بالا وجود خواهد داشت و تعداد چهار ایمپلنت می تواند ده دندان یا بیشتر را در فک پایین حمایت نماید. اگر چه استفاده از 5 تا 6 ایمپلنت متداول می باشد. ایمپلنت های دندانی معمولا از اصول مهندسی پیروی می کنند، آن ها باید در یک استخوان قوی کار گذاشته شوند. چه اشخاصی برای ایمپلنت دندانی مناسب می باشند؟ اگر فردی از سلامتی عمومی کاملی برخوردار باشد، ایمپلنت های دندانی یقینا می توانند کارگذاری شوند. اما نوشیدن مشروبات الکلی یا سیگار کشیدن مشکلاتی را در ارتباط با التیام اولیه ایجاد می نماید و می تواند اثر منفی روی سلامت لثه و بافت استخوانی اطراف ایمپلنت داشته باشد. تعدادی از دندان پزشکان اگر بیمار سیگار خود را ترک ننماید، تمایلی به کار گذاشتن ایمپلنت به دلیل تاثیر منفی آن از خود نشان نمی دهند. آیا سلامت دهانی در مورد کارگذاری ایمپلنت لازم می باشد؟ معالجه لثه، ترمیم پوسیدگی ها و حذف آبسه ها برای موفقیت بادوام در درمان، بسیار مهم می باشد. اگر دندان لق، خونریزی قابل توجه به ویژه زمانی که دندان هایتان را تمیز می کنید دارید، امکان دارد مشکلاتی در لثه شما وجود داشته باشد. بیماری های لثه (Periodontal disease) یک علت عمده تحلیل رفتن استخوان هستند و معالجه ایمپلنت های دندانی را با مشکل مواجه خواهند نمود. چه عواملی می توان موجب تحلیل رفتن استخوان گردد؟ هر وقت یک دندان کشیده می شود میزان قابل توجهی از استخوان در اطراف بخش باقی مانده ریشه ممکن است از دست برود. این امر در طی چند ماه اول به سرعت صورت می پذیرد. تحلیل استخوان Bone resorption نامیده می شود. اگر چه میزان و مقدار تحلیل استخوان در بین افراد مختلف متغیر است ولی مراقبت های اختصاصی می تواند موجب کاهش آن گردد. گاهی اوقات ساده ترین راه برای به حداقل رساندن تحلیل استخوان بعد از کشیدن دندان، جایگزینی فوری ایمپلنت در طی چند هفته اول می باشد و این راهکار خاص ایمپلنت هایی با سطوح بیولوژیک می باشد که دوره التیام با استفاه از این ایمپلنت ها کاهش قابل توجهی دارد. آیا ایمپلنت های دندانی، استخوان را حفظ می نمایند؟ این امر یکی از مهم ترین عملکردهای ایمپلنت های دندانی می باشد. وقتی ایمپلنت کار گذاشته می شود هر روز نیروهای عملکردی استخوان اطراف، آن را تحریک نموده و موجب محکم تر شدن و قوی تر شدن استخوان می گردد. میزان موفقیت عمل Implant چه میزان می باشد؟ اگر یک ایمپلنت به صورت محکم با استخوان اطراف خود تثبیت نشود سرانجام شل خواهد شد و قادر نخواهد بود دندان جایگزین شده را حمایت نماید. شکست در عمل ایمپلنت کمتر از 5 درصد می باشد و به طور متوسط میزان موفقیت ایمپلنت های دندانی 95 درصد گزارش شده است. مراحل انجام ایمپلنت چه قدر به طول می انجامد؟ به طور روتین از زمان کاشت ایمپلنت تا زمان کارگذاری تاج دندان به طور متوسط 6 هفته تا 6 ما زمان ترمیم بافتی و تشکیل استخوان طول می کشد. جراح دندان پزشک ایمپلنت را طی عمل جراحی ویژه در استخوان فک شما قرار می دهد. این جراحی معمولا در داخل مطب دندان پزشک و با بی حسی موضعی انجام می شود. دندان قروچه (Bruxism): بیمارانی که عادت به دندان قروچه دارند ممکن است در معرض خطر فشار بیش از اندازه روی ایمپلنت های دندانی باشند. در اغلب مردم دندان قروچه در طی خواب رخ می دهد و عموما فرد نسبت به این عمل آگاهی ندارد. صاف شدن دندان ها، ترک برداشتن مینا و یا شکسته شدن های جزیی دندان های پر شده علایم کلینیکی متداول دندان قروچه می باشند. دندان قروچه بایستی مورد توجه قرار گیرد و به وسیه قرار دادن ایمپلنت های اضافی، انتخاب مواد پر کننده مناسب و استفاده از یک Bite guard در هنگام شب، می توان دندان های جدید را محافظت نمود. دکتر آرزو زراعتیان نژاد - دندان پزشک مجله دنیای سلامت *مطالب مرتبط: درمان دندان های فاصله دار من هست یک دندانپزشک! آشنایی با انواع دندان ها مراحل عصب کشی دندان(با تصاویر) برای بی دندان ها: آنچه باید از دندان مصنوعی بدانید پوشاندن شیار دندان ها مراحل پُر کردن دندان(با تصاویر) لبخندی زیبا با دندان هایی سفید صحیح مسواک زدن(با تصاویر) روش استفاده از نخ دندان(با تصاویر) مواد غذایی موثر در پوسیدگی دندان و جلوگیری از آن شناخت علل پوسیدگی دندان



